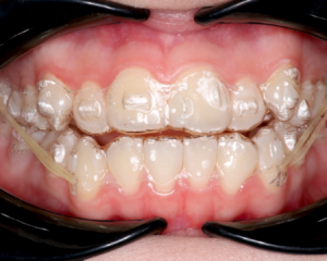
インビザラインのアタッチメントと言う存在をご存じでしょうか?アタッチメントとは、マウスピースだけでは動かしきれない歯を、効率的に動かせるよう歯に装着する、白い突起物のことです。
この記事では、青森県五所川原市にある小林歯科医院が、インビザライン治療に欠かせないアタッチメントの素材、種類、そして歯の動き方への影響を分かりやすく解説します。
さらに、アタッチメントが目立つことへの対策や、メリット・デメリット、取れてしまった場合の対処法まで、気になる疑問を解消します。
この記事を読めば、インビザライン治療への理解が深まり、安心して治療に臨むことができるでしょう。
▼インビザラインとは?

インビザラインとは、透明なマウスピース型の矯正装置を用いて歯並びを矯正する治療法です。従来のワイヤー矯正とは異なり、目立たないこと、取り外し可能であることが大きな特徴です。透明なマウスピースを一定期間ごとに交換しながら、少しずつ歯を動かしていきます。
マウスピースは医療用の透明なプラスチック素材で作られており、装着時の違和感が少なく、発音への影響もさほどありません。食事や歯磨きの際は取り外せるため、口腔衛生を保ちやすく、虫歯や歯周病のリスクを軽減できます。また、金属アレルギーの方でも安心して使用できます。
◎インビザラインのメリット
- 目立たない:透明なマウスピースなので、矯正していることが周囲に気づかれにくい。
- 取り外し可能:食事や歯磨きの際に取り外せるので、口腔衛生を保ちやすい。
- 痛みが少ない:ワイヤー矯正に比べて、痛みや違和感が少ない。
- 金属アレルギーの心配がない:金属を使用していないので、金属アレルギーの方でも安心して使用できる。
- 通院回数が少ない:ワイヤー矯正に比べて、通院回数が少ない場合もある。
◎インビザラインのデメリット
- 適応症例が限られる:複雑な症例には対応できない場合がある。
- 自己管理が必要:1日20時間以上の装着が必要で、自己管理が重要となる。
- 費用が高い:ワイヤー矯正に比べて、費用が高い場合が多い。
- マウスピースの紛失:マウスピースを紛失してしまうと、追加費用が発生する。
- アタッチメントが必要な場合がある:歯の動きをコントロールするために、アタッチメントと呼ばれる小さな突起を歯に付ける必要がある場合がある。
▼インビザラインのアタッチメントとは?その種類と役割

インビザラインのアタッチメントとは、マウスピース型の矯正装置であるインビザラインを歯にしっかりと固定し、歯の動きをコントロールするために歯の表面に接着される小さな突起のことです。
このアタッチメントがあることで、インビザラインは複雑な歯の動きをより精密に制御することが可能になります。単にマウスピースを歯に装着するだけでは、歯を回転させたり、傾斜させたりといった細かい動きをコントロールすることは難しいでしょう。ア
タッチメントは、マウスピースからの力を歯に効果的に伝達する役割を担い、治療計画に沿った歯の移動を実現するために不可欠な存在です。
◎アタッチメントの素材
アタッチメントは、歯と同じような色のコンポジットレジンで作られています。これは、虫歯治療などにも使われる歯科用の接着剤と同じ素材で、人体に安全な材料です。そのため、アレルギー反応などの心配もほとんどありません。また、光で硬化する性質を持つため、施術時間も短く済みます。
◎アタッチメントの種類
アタッチメントには様々な形状があり、それぞれ異なる役割を担っています。歯列矯正の目的や歯の動きに合わせて、最適な形状のアタッチメントが選択されます。主な種類は以下の通りです。
|
種類 |
役割 |
|
オープンバイト用アタッチメント |
前歯の噛み合わせが深く、奥歯が噛み合わないオープンバイトの改善に用いられます。 |
|
ディープバイト用アタッチメント |
前歯の噛み合わせが深く、下の歯が見えにくいディープバイトの改善に用いられます。 |
|
ルートコントロール用アタッチメント |
歯根の位置を調整し、歯全体の動きをコントロールするために使用されます。 |
|
回転用最適アタッチメント |
歯の回転を促すために設計されたアタッチメントです。ねじれた歯を正しい位置に戻す際に使用されます。 |
|
アンカレッジ用最適アタッチメント |
特定の歯を固定点として利用し、他の歯を動かす際に使用されます。 |
|
マルチトゥース挺出用最適アタッチメント |
複数の歯を同時に挺出(歯茎から歯を押し出す動き)させる際に使用されます。 |
|
過蓋咬合用最適アタッチメント |
上の前歯が下の前歯を大きく覆ってしまう過蓋咬合の改善に用いられます。 |
これらのアタッチメントは、インビザライン治療において、歯を計画通りに動かすために重要な役割を果たしています。治療計画に基づき、患者さん一人ひとりの歯並びに合わせて最適なアタッチメントが選択・配置されるのです。
▼アタッチメントが目立つのが気になる方へ

インビザラインのアタッチメントは、歯の移動をコントロールするために必要なものですが、どうしても目立ちやすいため、見た目が気になる方もいらっしゃるでしょう。
そこで、この章ではアタッチメントの目立ちを軽減する方法や、色の選び方、着色を防ぐ方法などについて詳しく解説します。
◎アタッチメントの色
アタッチメントの色は、基本的に歯の色に合わせて作られています。そのため、ほとんどの場合、それほど目立つことはありません。しかし、歯の色が均一でない場合や、アタッチメントが大きい場合は、目立ちやすくなることがあります。
一般的には、透明に近いクリア色のアタッチメントが使用されます。これは、ほとんどの歯の色に馴染みやすく、目立ちにくいというメリットがあります。
しかし、歯の色が濃い方や、着色しやすい方は、クリア色のアタッチメントが目立つ可能性も。そのような場合は、歯の色に近い色のアタッチメントを選択することも可能です。歯科医師と相談して、最適な色を選びましょう。
歯の色が白い方は、クリアのアタッチメントがおすすめです。透明感があり、自然な仕上がりになります。歯の色がやや黄色みがかっている方は、アイボリーのアタッチメントを選ぶと良いでしょう。歯の色に馴染みやすく、目立ちにくくなります。
◎歯磨きで着色を防ぐ
アタッチメントは、歯磨きを怠ると着色しやすくなります。着色すると、アタッチメントが目立つだけでなく、虫歯や歯周病のリスクも高まってしまうのです。
そのため、毎食後、丁寧に歯磨きをすることが大切です。特に、アタッチメントの周囲は汚れが溜まりやすいため、歯ブラシを細かく動かして丁寧に磨きましょう。
アタッチメントの周囲は、歯間ブラシやデンタルフロスを使って丁寧に清掃しましょう。また、着色を防ぐ効果のある歯磨き粉を使用するのもおすすめです。研磨剤の含まれていないものを選び、歯のエナメル質を傷つけないように注意しましょう。
|
アイテム |
使い方 |
効果 |
|
歯間ブラシ |
アタッチメントと歯の間、歯と歯の間に挿入して汚れをかき出す |
歯垢や食べかすの除去 |
|
デンタルフロス |
歯と歯の間に通して、歯垢や食べかすを除去する |
歯垢や食べかすの除去 |
|
着色防止歯磨き粉 |
通常の歯磨き粉と同様に使用する |
アタッチメントの着色を防ぐ |
適切な歯磨きで、アタッチメントの着色を防ぎ、清潔な状態を保つことが重要です。
▼アタッチメントが取れてしまった場合の対処法

インビザラインのアタッチメントは、食事や歯磨きなどでまれに取れてしまうことがあります。もし取れてしまった場合は、慌てずに以下の手順で対処しましょう。
◎状況の確認とクリニックへの連絡
まずは、取れてしまったアタッチメントの状態と、ご自身の歯の状態を確認しましょう。アタッチメントが破損しているか、歯に異常がないかを確認することが重要です。
その後、速やかに治療を受けている歯科クリニックに連絡し、状況を説明しましょう。アタッチメントの再装着が必要かどうか、来院の時期などを指示してもらえます。
予約状況によってはすぐに診てもらえない場合もあるので、余裕を持って連絡することをおすすめします。
◎取れたアタッチメントの保管
取れたアタッチメントは、再装着できる可能性があります。もしアタッチメントが見つかった場合は、清潔な容器やジップ付きの袋に入れて保管しておきましょう。クリニックに持参することで、再装着してもらえるかもしれません。ただし、破損がひどい場合は再装着できない場合もあります。
◎再装着までの注意点
アタッチメントが取れたまま放置すると、治療計画に影響が出る可能性があります。再装着までの間は、以下の点に注意しましょう。
|
注意点 |
詳細 |
|
マウスピースの装着 |
アタッチメントが取れていても、可能な限りマウスピースを装着し続けることが大切です。装着することで歯の移動を最小限に抑え、治療計画への影響を軽減できます。ただし、痛みや違和感がある場合は無理に装着せず、クリニックに相談しましょう。 |
|
食事 |
アタッチメントが取れた部分の歯に負担がかからないように、硬い食べ物や粘着性のある食べ物は避けるようにしましょう。 |
|
歯磨き |
アタッチメントが取れた部分は丁寧に歯磨きを行い、清潔に保つように心がけましょう。 |
◎自己判断での接着はNG
アタッチメントが取れたからといって、ご自身で接着剤などを使ってアタッチメントを付け直すのは絶対にやめましょう。誤った位置に装着してしまうと、歯の移動に悪影響を及ぼす可能性があります。必ず歯科クリニックで適切な処置を受けてください。
◎費用について
アタッチメントの再装着にかかる費用は、クリニックによって異なります。保証期間内であれば無料の場合もありますが、保証期間外の場合は費用が発生する可能性があります。事前にクリニックに確認しておきましょう。また、歯科矯正治療は医療費控除の対象となる場合がありますので、領収書は大切に保管しておきましょう。
アタッチメントが取れてしまった場合は、落ち着いてクリニックに連絡し、指示に従うことが大切です。適切な対処をすることで、治療計画への影響を最小限に抑えることができます。
▼よくある質問
インビザラインのアタッチメントに関して、よくある質問をまとめました。
◎アタッチメントは痛い?
アタッチメントの装着自体は痛みを伴うものではありません。歯医者さんで歯の表面を少しだけ研磨し、そこにアタッチメントを接着剤で固定しますが、この処置中に痛みを感じることはほとんどありません。
ただし、アタッチメント装着後、新しいマウスピースを装着した際に、歯が移動する圧力によって痛みや違和感を感じる場合があります。これは歯が動いている証拠であり、通常数日で軽減します。もし強い痛みや長引く痛みが続く場合は、歯医者さんに相談しましょう。
◎アタッチメントはどのくらいもつ?
アタッチメントは、通常、治療期間中ずっと歯に接着されたままです。しっかりと接着されているため、日常生活で簡単に取れることは稀です。ただし、硬いものを噛んだり、強い衝撃が加わったりすると、まれに取れてしまうことがあります。もし取れてしまった場合は、速やかに歯医者さんに連絡し、再装着してもらいましょう。アタッチメントが取れたまま放置すると、治療計画に影響が出る可能性があります。
◎アタッチメントは自分で外せる?
アタッチメントは、患者さんご自身で外すことはできません。専用の器具を使って歯医者さんが取り外します。無理に自分で外そうとすると、歯を傷つける可能性があるので、絶対にやめましょう。
治療が完了したら、歯医者さんでアタッチメントを取り外してもらいます。この際も痛みを感じることはほとんどありません。
◎アタッチメントはどのくらいの大きさ?
アタッチメントの大きさは、歯の位置や動き、そして治療計画によって異なります。一般的には、直径2~4mm、高さ1~2mm程度の小さなものです。米粒よりも小さいものが多く、それほど目立つものではありません。
◎アタッチメントはどんな形?
アタッチメントの形も、歯の位置や動きによって様々です。円形、楕円形、四角形など、様々な形があります。歯を効果的に動かすために、最適な形のアタッチメントが選択されます。
◎アタッチメントは目立つ?
アタッチメントは歯の色に近いレジンでできていますが、光が当たると多少の光沢感があるため、全く目立たないわけではありません。
しかし、非常に小さいので、会話する程度の距離ではほとんど気づかれません。また、歯の裏側に装着される場合もあります。気になる方は、歯医者さんに相談してみましょう。目立ちにくくする工夫として、歯の色に近い色のアタッチメントを選択することも可能です。
◎アタッチメントが変色することはある?
アタッチメントは、カレーやコーヒー、赤ワインなど色の濃い飲食物の影響で変色することがあります。変色を防ぐためには、これらの飲食物を摂取した後は、すぐに歯磨きをすることをおすすめします。また、定期的な歯のクリーニングも効果的です。着色が気になる場合は、歯医者さんに相談し、アタッチメントを交換してもらうことも可能です。
◎アタッチメントの費用は?
アタッチメントの費用は、インビザラインの治療費に含まれていることが一般的です。そのため、アタッチメントの装着にかかる費用を別途支払う必要はありません。ただし、アタッチメントが破損したり脱落したりして再装着が必要な場合は、別途費用がかかる場合があります。詳しくは、治療を受ける歯科医院に確認してください。
◎アタッチメントが取れやすい場合はどうすればいい?
アタッチメントが取れやすい場合は、歯医者さんに相談しましょう。アタッチメントの形状や接着方法を調整することで、取れにくくすることができます。また、硬い食べ物を避ける、歯ぎしりをしないように注意するなど、日常生活での注意点を守ることも大切です。
|
項目 |
詳細 |
|
装着時の痛み |
ほとんどなし |
|
装着期間 |
治療期間中 |
|
自分で外せるか |
不可 |
|
大きさ |
直径2~4mm、高さ1~2mm程度 |
|
形 |
円形、楕円形、四角形など様々 |
|
目立ちやすさ |
比較的目立ちにくい |
|
変色の可能性 |
あり |
▼まとめ
この記事では、インビザラインのアタッチメントの種類や役割、目立ちにくくする工夫、メリット・デメリット、取れてしまった場合の対処法などについて解説しました。
アタッチメントは歯の動きをコントロールするために重要な役割を果たしており、種類によって歯の回転、傾斜など様々な動きを調整します。
目立ちが気になる方も、色の工夫や歯磨きで着色を防ぐことで、快適にインビザライン治療を受けることができます。アタッチメントが取れてしまった場合は、速やかにクリニックに連絡しましょう。この記事が、インビザライン治療を検討している方や現在治療中の方にとって、少しでもお役に立てれば幸いです。
青森県五所川原市でインビザライン治療を検討されている方はぜひ、小林歯科医院へご相談ください。